

Keila Nascimento - Ascom CPML
O surgimento de manchas, sinais diferentes ou feridas que não cicatrizam pode ser um importante sinal de alerta para o câncer de pele, o tipo de câncer mais comum no Brasil e no mundo. Por esse motivo, a Sociedade Brasileira de Dermatologia instituiu a campanha Dezembro Laranja, realizada no mês que marca o início do verão no hemisfério sul, com o objetivo de conscientizar a população sobre a prevenção e o diagnóstico precoce da doença que afeta o maior órgão do corpo humano: a pele.
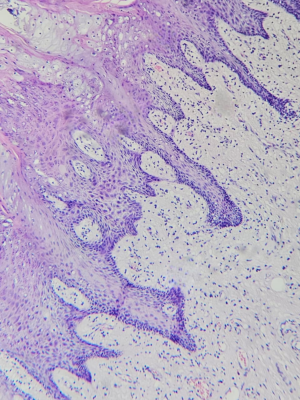
De acordo com Miguel Agulhan, coordenador do Setor de Histopatologia do Centro de Patologia e Medicina Laboratorial (CPML), unidade de apoio da Universidade Estadual de Ciências da Saúde de Alagoas (Uncisal), até o final de novembro deste ano foram recebidas 570 amostras de biópsias de pele encaminhadas por diversas unidades públicas de saúde parceiras para investigação de câncer de pele. Desse total, 180 casos tiveram diagnóstico confirmado. Um número bastante relevante em relação ao quantitativo recebido, afirmou Agulhan.
O sinal de alerta deve ser acionado diante de manchas e sinais que apresentam mudanças de cor, tamanho ou formato, além de feridas que não cicatrizam. Ao identificar qualquer alteração na pele, é fundamental procurar um dermatologista. O diagnóstico precoce permite iniciar o tratamento rapidamente, aumentando significativamente as chances de cura.
A prevenção do câncer de pele vai muito além do uso regular do protetor solar. A fotoproteção envolve também o uso de vestuário adequado, como chapéus, bonés, óculos escuros e camisas com proteção ultravioleta. Outro cuidado essencial é evitar a exposição direta ao sol nos horários de maior incidência da radiação solar, especialmente entre 10h e 16h.

.jpeg)
Melanoma
.jpeg)
Melanoma
